دندانپزشکی اطفال چیست؟
دندانپزشکی کودکان، اهمیت خاصی برای پوسیدگی دندان قائل است. تحقیقات نشان میدهد که بهداشت دهان پایین در بچهها منجر به عملکرد درسی ضعیف در مدرسه و همچنین روابط اجتماعی ضعیف میانجامد. بنابراین متخصصان اطفال، توصیههایی در رابطه با تقویت دندانها، عادتهای غذایی سالم و سایر مواردی که مانع بیماریهای دهان میشود، به آنها میکنند.از زمان رویش اولین دندانهای شیری ( ۶ ماهگی ) تا زمان افتادن آخرین دندان شیری ( ۱۲ سالگی) بایستی کودکان هر ۶ ماه یکبار توسط دندانپزشک معاینه شوند و مراحل افتادن دندانهای شیری و رویش دندانهای دائمی جایگزین آنها و سلامت دندانها مورد بررسی قرار گیرند.
خدمات تخصصی دندانپزشکی اطفال چیست؟
این خدمات شامل فلورایدتراپی ، فیشورسیلنت (شیار بند)، ترمیم های پیشگیرانه، پالپوتومی و پالپکتومی (عصب کشی و درمان ریشه دندانهای شیری )، روکش، ترمیم و فضا نگهدار است که توسط متخصصین دندانپزشکی کودکان ارائه می شود.

ترمیم دندانهای شیری
با توجه به علاقه زیاد کودکان به مصرف مواد قندی بهتر است برای پیشگیری از پوسیدگی دندانها، برای کودکان مسواک زده شود و به او مسواک زدن و استفاده از نخ دندان را بیاموزند و در صورت مشاهده علائم پوسیدگی در دندان ها جهت پیشگیری از عفونت و ایجاد آبسه و کشیده شدن دندان هر چه زودتر به دندانپزشک مراجعه شود تا آن را ترمیم نمایند و در صورتی که پوسیدگی عمیق باشد ولی هنوز آبسه و عفونت ایجاد نشده باشد عصب کشی دندان شیری ( پالپوتومی ) با خارج کردن عصب آن و ترمیم دندان انجام می شود.
ترمیم دندان های شیری باعث ماندگاری آن حتی برای چند سال و کمک به جویدن و هضم غذا و در نهایت رشد کودک و باعث رویش منظم و مرتب دندان دائمی و زیبایی کودک در آینده می شود.
فلوراید تراپی
فلوراید تراپی روشی برای مقاوم کردن دندانها و جلوگیری از پوسیدگی آنهاست که با استفاده از ژلهای خوش طعم فلوراید و بر روی دندانهای آسیای شیری و دندانهای دائمی تازه رویش یافته انجام می شود.
علاوه بر آن استفاده از دهانشویه فلوراید در کودکان بالای ۶ سال به صورت هفته ای۲ یا ۳ بار می تواند کمک بسیار مؤثری در سالم ماندن دندانها نماید.
فیشور سیلانت (شیار پوش)
استفاده از فیشورسلینت یا شیارپوش یکی دیگر از راههای افزایش مقاومت دندان و پیشگیری از پوسیدگی برای مدت بسیارطولانی (۱۰ تا ۱۵ سال) می باشد.
در این روش از مواد همرنگ دندان و رقیق رزینی برای پوشاندن شیارهای عمیق و منافذ سطح دندان که بیش از %۷۰ پوسیدگی دندان از آنجا آغاز می شود استفاده می گردد.
ابتدا سطح دندان با بروساژ تمیز شده و بدون اینکه دندان تراش بخورد مواد فیشورسیلانت مثل چسب روی دندان قرار داده می شود و توسط نور دستگاه مخصوص در همان جلسه سفت و محکم می شود. بهترین سن فیشور سیلانت بین ۶ تا ۱۲ سال و در مورد دندان های آسیای شیری و دائمی تازه رویش یافته (دندان ۶ و ۷ ) می باشد. این روش باعث کاهش قابل توجه پوسیدگی دندان ها در کودکان می شود ولی در کنار آن استفاده از مسواک و نخ دندان و مراجعه منظم به دندانپزشک نیز به عنوان راه های دیگر ایجاد سلامت دهان و دندان در کودکان می باشد.
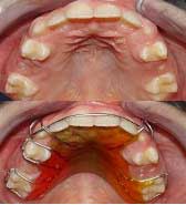
فضانگهدار
اگر دندانهای شیری زودتر از موقع کشیده شود دندانهای طرفین به سمت فضای خالی حرکت کرده با تنگ شدن فضا، باعث رویش نامرتب دندانهای دائمی زیرین می شود و چنانچه افتادن دندانهای شیری دیرتر از موقع اتفاق افتد وجود دندانهای شیری به عنوان مانع ممکن است باعث تأخیر رویش وکج شدن دندانهای دائمی شود. برای جلوگیری از چنین پیشامدی بایستی دندانهای شیری تا زمان رویش دندان دائمی زیر آن با مراجعه به دندانپزشک و انجام اقدامات لازم حفظ و نگهداری شود و در موارد ضروری پس از کشیدن دندان شیری با قالب گیری و ساخت وسیله ای بنام فضانگهدار توسط دندانپزشک که به دو صورت ثابت و متحرک ساخته می شود، رویش منظم دندانهای دائمی تضمین می گردد.
روکش دندان شیری
چنانچه ترمیم دندانها شیری وسیع باشد برای جلوگیری از شکستگی دندان و پوسیدگی مجدد بهتر است بر روی دندانها روکش مخصوص فلزی در سایزهای مختلف ساخته شده و بر روی دندان چسبانده شوند که در زمان افتادن دندان شیری همراه دندان شیری از دهان خارج می شود.